
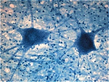
Π‘ΠΎΠ²ΡΠ΅ΠΌ Π½Π΅Π΄Π°Π²Π½ΠΎ Π³ΡΡΠΏΠΏΠ΅ ΡΡΠ΅Π½ΡΡ
ΡΠ΄Π°Π»ΠΈΡΡ ΠΏΡΠΎΡΡΠΎ Π½Π΅Π²Π΅ΡΠΎΡΡΠ½ΡΠ΅ ΠΌΠ°Π½ΠΈΠΏΡΠ»ΡΡΠΈΠΈ Ρ ΡΠ΅Π»ΠΎΠ²Π΅ΡΠ΅ΡΠΊΠΈΠΌΠΈ ΡΠΊΠ°Π½ΡΠΌΠΈ.
ΠΡΠΊΡΡcΡΠ²Π΅Π½Π½ΡΠΌ ΠΏΡΡΠ΅ΠΌ ΠΏΠΎΠ»ΡΡΠΈΠ»ΠΎΡΡ ΡΠΎΠ·Π΄Π°ΡΡ Π½Π°ΡΡΠΎΡΡΠΈΠ΅ Π½Π΅ΠΉΡΠΎΠ½Ρ Π³ΠΎΠ»ΠΎΠ²Π½ΠΎΠ³ΠΎ ΠΌΠΎΠ·Π³Π° ΠΈΠ· ΠΎΠ±ΡΠΊΠ½ΠΎΠ²Π΅Π½Π½ΡΡ ΠΊΠ»Π΅ΡΠΎΠΊ ΡΠΏΠΈΠ΄Π΅ΡΠΌΠΈΡΠ°, ΡΠΎ Π΅ΡΡΡ ΡΠ΅Π»ΠΎΠ²Π΅ΡΠ΅ΡΠΊΠΎΠΉ ΠΊΠΎΠΆΠΈ. Π‘Π°ΠΌΡΠΌ Π½Π΅Π²Π΅ΡΠΎΡΡΠ½ΡΠΌ ΡΠ²Π»ΡΠ΅ΡΡΡ ΡΠΎΡ ΡΠ°ΠΊΡ, ΡΡΠΎ Π² ΠΈΡΡΠ»Π΅Π΄ΠΎΠ²Π°Π½ΠΈΠΈ Π½ΠΈΠΊΠ°ΠΊΠΈΠΌ Π±ΠΎΠΊΠΎΠΌ Π½Π΅ Π±ΡΠ»ΠΈ Π·Π°Π΄Π΅ΠΉΡΡΠ²ΠΎΠ²Π°Π½Ρ ΡΡΠ²ΠΎΠ»ΠΎΠ²ΡΠ΅ ΠΊΠ»Π΅ΡΠΊΠΈ, ΠΈΠ· ΠΊΠΎΡΠΎΡΡΡ ΠΎΠ±ΡΡΠ½ΠΎ ΠΈ ΠΏΡΠΎΠ΄ΡΡΠΈΡΡΡΡ ΠΊΠ»Π΅ΡΠΊΠΈ Π΄ΡΡΠ³ΠΈΡ ΠΎΡΠ³Π°Π½ΠΎΠ².
ΠΡΠ»ΠΈ Π΄Π°Π»ΡΠ½Π΅ΠΉΡΠΈΠ΅ ΠΈΡΡΠ»Π΅Π΄ΠΎΠ²Π°Π½ΠΈΡ ΠΎΠΊΠ°ΠΆΡΡΡΡ ΡΡΠΏΠ΅ΡΠ½ΡΠΌΠΈ, Π½Π°Ρ ΠΆΠ΄Π΅Ρ ΡΠΎ Π·ΠΎΠ»ΠΎΡΠΎΠ΅ Π²ΡΠ΅ΠΌΡ, ΠΊΠΎΠ³Π΄Π° ΠΎΠ±ΡΠΊΠ½ΠΎΠ²Π΅Π½Π½Π°Ρ ΡΠ΅Π»ΠΎΠ²Π΅ΡΠ΅ΡΠΊΠ°Ρ ΠΊΠΎΠΆΠ° ΡΡΠ°Π½Π΅Ρ Π²Π΅ΡΠ½ΡΠΌ ΠΏΠΎΠΌΠΎΡΠ½ΠΈΠΊΠΎΠΌ Π² Π»Π΅ΡΠ΅Π½ΠΈΠΈ Π½Π΅Π²Π΅ΡΠΎΡΡΠ½ΠΎΠ³ΠΎ ΠΊΠΎΠ»ΠΈΡΠ΅ΡΡΠ²Π° ΡΠ΅Π»ΠΎΠ²Π΅ΡΠ΅ΡΠΊΠΈΡ Π±ΠΎΠ»Π΅Π·Π½Π΅ΠΉ, Π² ΡΠ°ΡΡΠ½ΠΎΡΡΠΈ, ΠΌΠ½ΠΎΠΆΠ΅ΡΡΠ²Π° ΡΠ΅ΡΡΠ΅Π·Π½ΡΡ Π·Π°Π±ΠΎΠ»Π΅Π²Π°Π½ΠΈΠΉ Π½Π΅ΡΠ²Π½ΠΎΠΉ ΡΠΈΡΡΠ΅ΠΌΡ, ΠΎΡ ΠΊΠΎΡΠΎΡΡΡ Π΄ΠΎΡΠ΅Π»Π΅ Π½Π΅Ρ ΡΠ½ΠΈΠ²Π΅ΡΡΠ°Π»ΡΠ½ΠΎΠ³ΠΎ ΠΈ ΡΡΡΠ΅ΠΊΡΠΈΠ²Π½ΠΎΠ³ΠΎ Π»Π΅ΠΊΠ°ΡΡΡΠ²Π°.





